
After experiencing some dizzying symptoms, a 25-year-old Iowa man was diagnosed with a rare and aggressive tumor that was fused deep in his brainstem – one that doctors determined could not be removed surgically.
Michael Jones, a diesel mechanic based in Sioux City, Iowa, had been living what most would consider a healthy, stable life when the first signs of trouble emerged during a trip to Minneapolis in early 2025.
“That’s when I started waking up in the mornings and started randomly feeling very, very nauseous for some reason,” Jones, now 26, told The Patient Stories.
Thinking he had eaten something that didn’t agree with him, he tried to push through, but the symptoms persisted and intensified once he returned home, eventually making it nearly impossible for him to lie flat without triggering powerful dizzy spells.
“As if you’re getting on a roller coaster and you just couldn’t get off,” Jones told Sioux City’s KTIV.
Ears and eyes
Jones explained that he took time off work hoping for recovery, but the sensations only worsened, especially difficult given the physical demands of his job, which required him to spend long hours lying beneath heavy trucks.
After visiting his doctor, it was suspected he had ear crystals – a common explanation for inner ear-related vertigo – and eye nystagmus: “If I looked completely to either side, my eyes would bounce back and forth,” Jones explained.
Drooping face
It wasn’t until the right side of his face started drooping that the concern escalated.
“So, I texted my doctor,” Jones said. “I showed him a picture of my face.”
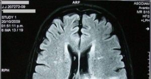
The doctor urged him to go to the hospital “immediately” for an MRI that revealed a mass in his brainstem, a moment that sent a wave of fear through both him and his mother, Sonora Swords.
“That was the real first time that my heart completely dropped,” Swords told KTIV.
Tumor fused to brainstem
With neurosurgical resources limited in Sioux City, Jones was transferred to Mercy Hospital, where another MRI was performed and surgery was initially discussed. However, uncertainty about the tumor’s location and its delicate position near the brainstem led doctors to refer him to a facility in Omaha for more advanced imaging.
“And then that’s when they told me that there was a 2-centimeter tumor inside of my brain stem,” said Jones. “It had fused to my brainstem walls.”
‘I just broke down’
The news was nearly impossible to process. He recalled feeling “very numb” when doctors first explained what it meant, and in an emotional moment that unsettled even the hospital staff, he quietly removed the medical monitors and walked out of the room with his wife Becca and his best friend, finding refuge in a nearby chapel where the gravity of the diagnosis finally overwhelmed him.
“There, it all hit me, and I just broke down,” he said.
‘Miracles at Mayo’
The following days brought further heartbreak. A neurologist delivered the inoperable verdict, and Sonora, unwilling to accept defeat, drove her son straight to the Mayo Clinic in Rochester, Minnesota.
“We were driving home, and I had people in my life that were saying, you know, ‘get to Mayo…they can do miracles at Mayo,”” Swords said. “No appointment, no nothing.”
Walking into the emergency room, she begged a doctor to help her son, to which the physician responded, “We’ll help you.”
Rare brain cancer diagnosis
Within days, Mayo’s team offered a chance that others could not – a biopsy, despite the delicate location of the tumor.
Dr. Ian Parney, a neurosurgeon at the Mayo Clinic, explained the risks: “I can do the biopsy. There’s about an 85% chance of you coming out completely normal, like nothing’s happened. There’s also a 15% chance of some damage, and less than a 1% chance of death.”
Jones agreed, and the procedure was performed successfully, though it left him with partial facial paralysis and Bell’s palsy on one side, along with lingering muscle weakness and a right eye that could no longer close completely.
Despite the challenges, the biopsy confirmed that Jones had diffuse midline glioma (DMG), a rare and aggressive brain cancer known for its resistance to treatment, and that cannot be separated from the surrounding tissue.
Hope
Yet amid the uncertainty, there was a sliver of hope. Mayo Clinic specialists placed him in a clinical trial involving a condensed course of radiation therapy, which by July had stabilized the tumor, according to KTIV.
In August 2025, during a follow-up scan at Mayo, doctors reported that the tumor had actually shrunk, offering the first real sign that the treatment might be working.
Reflecting on everything he’s endured, Jones shared a powerful message about how his understanding of “hope” has evolved. “At first, before my diagnosis, ‘hope’ was just a word,” he told The Patient Story. “But now, hope has taken on a different meaning for me. It’s what brings me some joy in my life. It’s what gives me the confidence to keep going. It’s the reason I wake up in the morning.”
He added: “Nobody ever expects to get cancer. I certainly didn’t. I was healthy, there was nothing wrong with me, and my bloodwork was all fine. And it all started just by getting dizzy, because I couldn’t lie flat on my back.”
Please let us know what you think of Michael Jones’ journey and then share this story so we can hear from others!